Smile Transformation: Closing the Gap Naturally
A gap between the teeth, also known as diastema, may seem like a small concern, but for many patients, it affects not only their smile but also their confidence and overall oral health. At Elite Dental Specialists, we specialize in closing gaps through minimally invasive, aesthetic-focused solutions that create harmony, balance, and function in your smile.
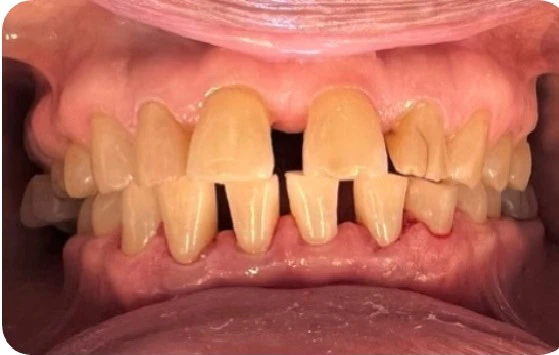
In this case study, you’ll see how we helped one patient transform their smile by closing the space between their front teeth and improving alignment—all while maintaining a natural appearance.
Smile Transformation: Closing the Gap Naturally
A gap between the teeth, also known as diastema, may seem like a small concern, but for many patients, it affects not only their smile but also their confidence and overall oral health. At Elite Dental Specialists, we specialize in closing gaps through minimally invasive, aesthetic-focused solutions that create harmony, balance, and function in your smile.
In this case study, you’ll see how we helped one patient transform their smile by closing the space between their front teeth and improving alignment—all while maintaining a natural appearance.
Treatment Overview
This patient came to us feeling self-conscious about the noticeable space between their upper front teeth. After a detailed consultation, we created a custom treatment plan to correct the diastema in a way that looked beautiful and preserved as much natural tooth structure as possible.
Our approach included:
- Cosmetic evaluation and smile design
- Options such as dental bonding, porcelain veneers, or ceramic crowns discussed
- Final solution: Porcelain veneers for seamless and natural closure of the gap
- Shade matching and precise sculpting for a perfect aesthetic finish
The Transformation
As seen in the before and after photos, the results were both subtle and dramatic. By closing the gap and reshaping the surrounding teeth, the patient’s smile became more symmetrical and confident.
✨ Before: Visible gap, asymmetry, uneven smile line
✨ After: Natural-looking closure, smooth transitions, confident smile
The patient was thrilled with their results, reporting a boost in confidence and a renewed love for their smile. Functional improvements were also noted, with better bite distribution and comfort when speaking and eating.
Hear From Our Happy Patients
Discover the Impact of
Dr. Obeidi's Care
Experience the Difference
If you’re tired of hiding your smile because of gaps between your teeth, we’re here to help. Our custom cosmetic treatments can restore your smile’s beauty while preserving function and long-term oral health.
📞 Schedule your consultation with Dr. Obeidi at (346) 603-5847
📍 Conveniently located in Houston, TX – Elite Dental Specialists

