Rebuilding Bites, Restoring Comfort
When your bite is off, your entire oral system can suffer—leading to jaw pain, tooth wear, headaches, and even difficulty chewing. At Elite Dental Specialists, we specialize in restoring proper bite alignment with custom-designed dental crowns that rebuild your smile’s function and harmony.
In this featured case, we walk you through how new crowns helped one of our patients correct their bite and reclaim comfort and confidence.
Rebuilding Bites, Restoring Comfort
When your bite is off, your entire oral system can suffer—leading to jaw pain, tooth wear, headaches, and even difficulty chewing. At Elite Dental Specialists, we specialize in restoring proper bite alignment with custom-designed dental crowns that rebuild your smile’s function and harmony.
In this featured case, we walk you through how new crowns helped one of our patients correct their bite and reclaim comfort and confidence.
Treatment Overview
This patient came to us experiencing jaw discomfort, uneven wear on multiple teeth, and a collapsed bite that affected both their appearance and function. After a thorough bite analysis, Dr. Obeidi determined that the best course of action was a full reconstruction using precision-matched dental crowns.
The process included:
- Bite evaluation with digital scans and articulator models
- Selective reshaping of teeth to create optimal alignment
- Placement of new ceramic crowns on upper and lower arches
- Occlusal adjustments to ensure proper bite and comfort
- Final polish for a natural finish
The Transformation
With the new crowns in place, this patient’s bite was completely rebalanced. They experienced immediate relief from TMJ-related discomfort and noticed improved chewing ability and speech clarity. Best of all, their new smile looked natural and symmetrical.
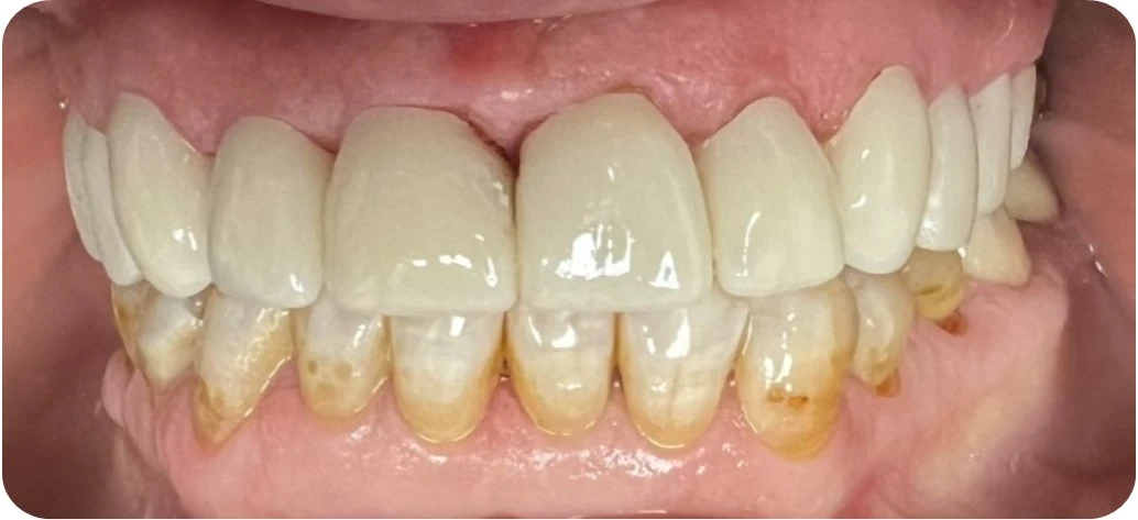
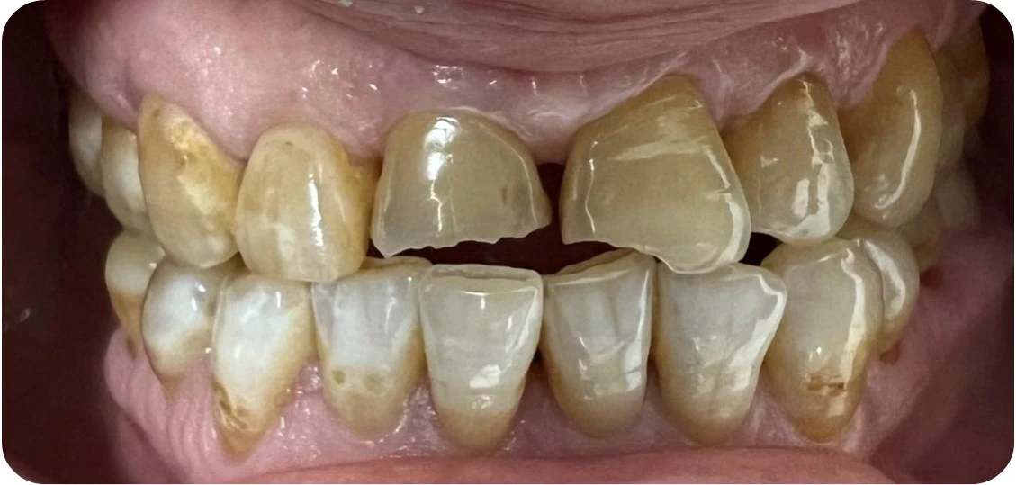
✨ Before: Uneven bite, worn teeth, jaw pain, compromised smile
✨ After: Balanced occlusion, renewed structure, confident and pain-free smile
This transformation not only restored function—it gave the patient a brand-new sense of well-being.
Hear From Our Happy Patients
Discover the Impact of
Dr. Obeidi's Care
Bring Your Bite Back Into Balance
You don’t have to live with the discomfort of an unbalanced bite. Our expertly crafted crowns are designed to rebuild your smile with precision, strength, and beauty.
📞 Call now to schedule your consultation: (346) 603-5847
📍 Visit Elite Dental Specialists in Houston, TX

