Bite Correction,
Confident Smile
At Elite Dental Specialists, we believe that a healthy bite is the foundation of a beautiful, functional smile. For this patient, years of bite misalignment caused discomfort, uneven wear on the teeth, and difficulty chewing. Using advanced diagnostics and a personalized treatment plan, Dr. Obeidi and our expert team corrected the bite and transformed their overall oral health.
This case study showcases the power of modern dentistry to not only enhance appearance—but also restore comfort and confidence.
Bite Correction,
Confident Smile
At Elite Dental Specialists, we believe that a healthy bite is the foundation of a beautiful, functional smile. For this patient, years of bite misalignment caused discomfort, uneven wear on the teeth, and difficulty chewing. Using advanced diagnostics and a personalized treatment plan, Dr. Obeidi and our expert team corrected the bite and transformed their overall oral health.
This case study showcases the power of modern dentistry to not only enhance appearance—but also restore comfort and confidence.
Treatment Overview
The patient presented with a misaligned bite that was contributing to jaw discomfort and long-term wear on their teeth. After a comprehensive evaluation, we developed a custom treatment plan involving bite adjustment, restorative care, and precision realignment.
Treatment included:
- Digital bite analysis
- Custom-fitted restorations (crowns/veneers as needed)
- Occlusal adjustment and alignment
- Ongoing monitoring to ensure lasting results
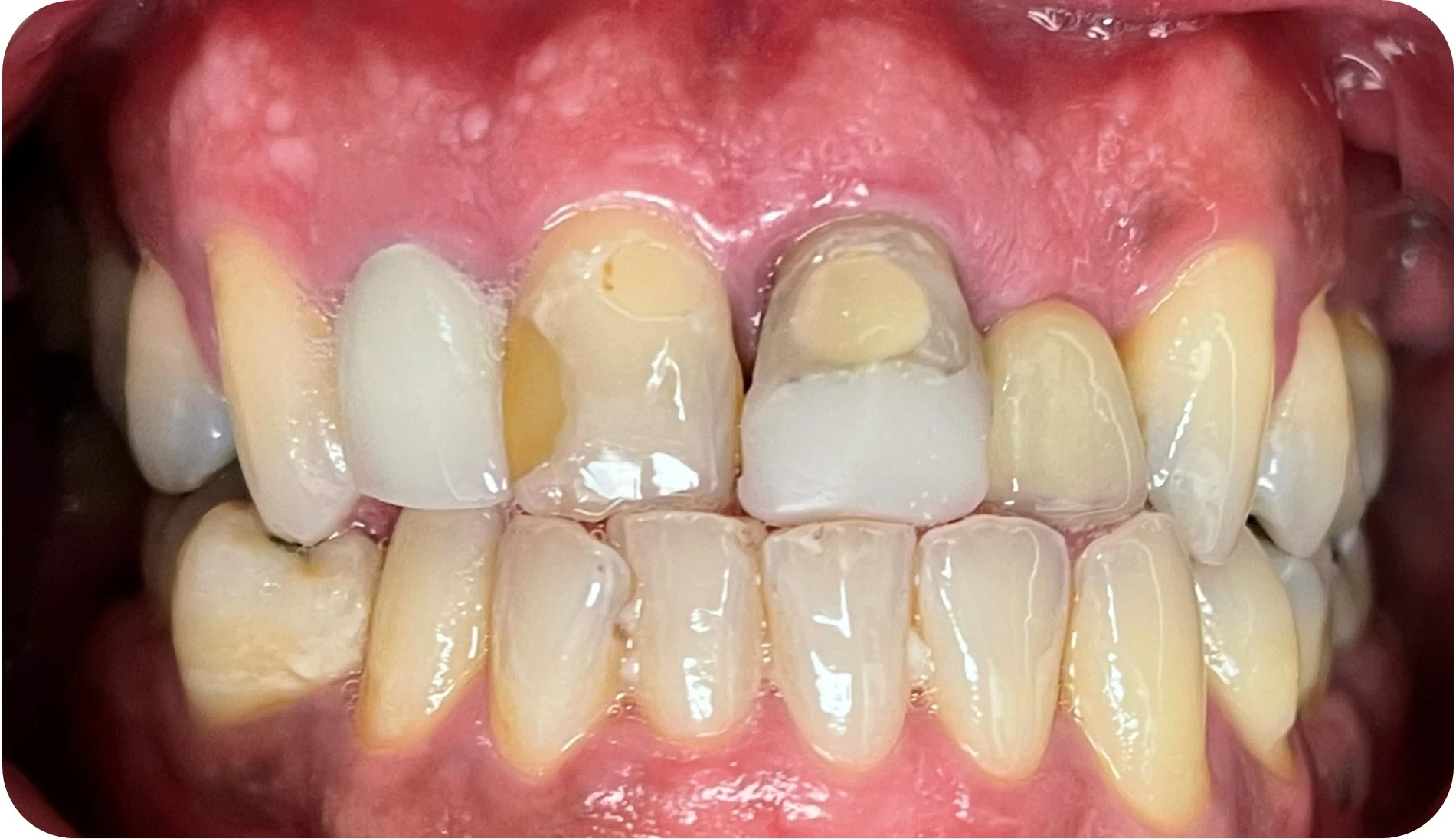
The Transformation
The progress photos below reveal the incredible changes. The patient’s bite was balanced, pressure points were reduced, and the overall function of the mouth dramatically improved. Not only did their smile look better—it felt better.
✨ Before: Uneven bite, worn enamel, jaw tension
✨ After: Aligned bite, improved function, radiant smile
Our patient now enjoys greater comfort when eating, speaking, and smiling—and no longer worries about premature tooth damage caused by a misaligned bite.
Hear From Our Happy Patients
Discover the Impact of
Dr. Obeidi's Care
Experience the Difference
If you’re experiencing bite issues, discomfort, or simply feel like your smile isn’t functioning the way it should, you’re not alone—and we’re here to help. Schedule a consultation with Dr. Obeidi and discover how bite correction can improve your oral health and quality of life.
📞 Call us today at (346) 603-5847
📍 Proudly serving Houston, TX and surrounding areas

