Transforming Smiles with Full Mouth Restoration
At Elite Dental Specialists, we believe no smile is beyond repair. Our full mouth restoration cases are some of the most rewarding transformations—designed to rebuild oral function, correct bite issues, and completely renew aesthetics for patients experiencing severe dental challenges.
Transforming Smiles with Full Mouth Restoration
At Elite Dental Specialists, we believe no smile is beyond repair. Our full mouth restoration cases are some of the most rewarding transformations—designed to rebuild oral function, correct bite issues, and completely renew aesthetics for patients experiencing severe dental challenges.
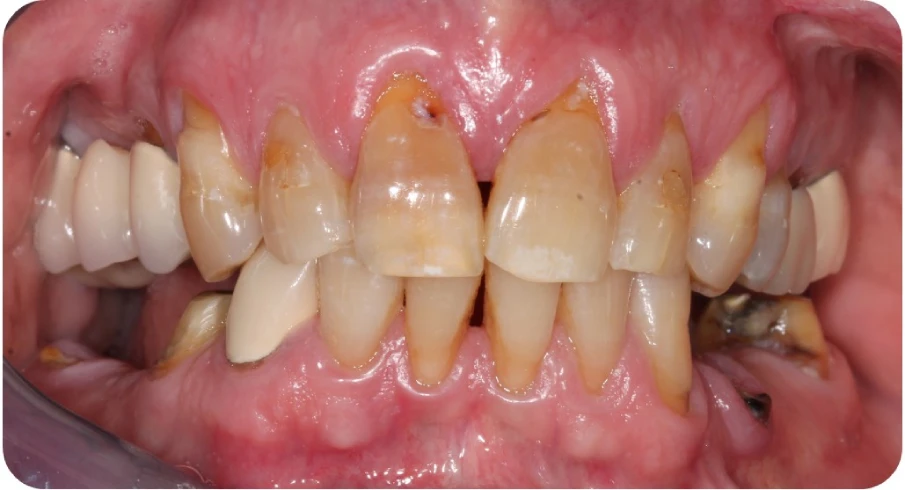
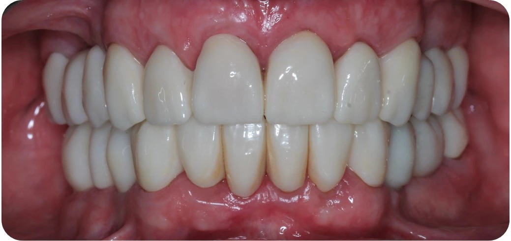
Before & After Transformation
This patient struggled with broken teeth, worn-down enamel, missing teeth, and ongoing pain while chewing. Their quality of life and self-esteem had been affected for years. Through a comprehensive full mouth restoration plan—including crowns, bridges, implants, and veneers—we helped rebuild their smile from the ground up. Today, their confidence and function are fully restored.
Total Smile Makeover, Inside and Out
Full mouth restoration is more than cosmetic—it’s about function, longevity, and whole-body health. Our team uses digital imaging and advanced diagnostics to map every detail of your bite and design a treatment plan that fits your goals, lifestyle, and timeline. Every restoration is handcrafted to look natural, feel comfortable, and last for years.
Who Needs Full Mouth Restoration?
1. Severe tooth wear from grinding or erosion
2. Missing or broken teeth
3. Chronic jaw pain or bite misalignment
4. Failing dental work or extensive decay
5. Desire to restore youth and beauty to your smile
Hear From Our Happy Patients
Discover the Impact of
Dr. Obeidi's Care
Renew Your Life with a New Smile
A complete smile transformation is possible—and it starts with a single consultation. Our compassionate team is here to guide you through every step, combining art, science, and technology to rebuild your smile and restore your confidence.
📞 Call 346-603-5847 or Schedule Your Consultation

